NÅR SJEKKET DU TENNENE SIST?
Når sjekket du dine tenner sist?
-sikkert 1 gang hvert år, minst.
Det burde du gjøre med din katt også, hvert år når den er inne til helsesjekk og vaksiner,
skal det også sjekkes i munnen, om det står bra med tiger-tennene og alt ser vel ut.
Men du skal ikke bare la veterinæren sjekke tennene, det kan du gjøre hjemme også, en gang i blant.
I alle fall om du synes katten din har dårlig ånde eller spiser lite, sikler eller har endre adferd på noe vis.
Visste du at så mange som hver 3. katt er rammet av tannproblem/munnsykdom ?
Det vil si at alt for mange av oss katter går rundt med vondt i munnen.
Du vet hvor ubehagelig det er å ha tannvondt?
Regner med du er snar med å ringe tannlegen din?
Det ER like vondt for oss katter.
Har katten din dårlig ånde, spiser lite, tynn, sikler eller endret adferd, åpne munnen for å ta en titt. Kanskje du ser en årsak?
Vi kattene skal ikke gå rundt med knekte tenner som gjør vondt, lagvis med plakk, sår, eller tannsykdommer, det er en skikkelig kattepine.
Selv om det ikke ser ut som vi har vondt, så er vi ganske tøffe på å skjule smerte.
Alt for mange katteeiere oppdager for sent at katten deres har problemer i munnen,
og kommer til veterinæren når sykdommen/problemet er kommet smertefullt langt.
Den vanligste tannsykdommen, før kalt FORL, men nå RL eller TR (Tooth Resorption).
Enkelt potert er det rett og slett kroppens celler som spiser opp tennene, sammen med dårlig tannhygiene kan det gå fort, fra et par måneder til ca ett år, så kan en eller flere tenner blir”spist opp”.
Årsaken er ukjent, merkelig nok, men det er ingen ny kattesykdom, mange hundre år gammel faktisk.
Og alle katter kan bli rammet, men mest vanlig kan det ses i 4-5 års alder., noen allerede ved 2 års alder.
Jo eldre katten er, jo viktigere er det å sjekke munnen.
Det er ingen medisinsk behandling på sykdommen, annet enn å trekke tennene som er rammet.
HUSK: En katt kan fint leve uten tenner, men den skal ikke leve med smerter i munnen.
SYMPTOMER PÅ TR
Katten kan slutte å spise eller spise mindre, bli tynnere, får rødt betent tannkjøtt som kan blø, begynne å sikle.
Noen katter blir roligere og trekker seg kanskje litt unna. Sover mer, mindre kosen, til og med aggressiv oppførsel.
Symptomene variere etter kattens personlighet og alvorlighetsgraden på problemene.
Smerten ved denne tannlidelsen er kronisk, og normalt ikke akutt.
Da merker katten smerten gradvis, og har derfor tid til å venne seg til at det er slik.
Katten kan derfor gå lenge før at eier oppdager noe, spesielt om ikke eier titter i munnen på
katten sin jevnlig.
Det tar bare 5 sekunder i godt lys å ta en sjekk, det kan spare katten for måneder med smerter.
GRADERING AV TR
GRAD I: Overfladiske skader i emaljen. Går ikke inn til tannbeinet.
GRAD II: Skader i emaljen som har fortsatt inn til tannbeinet.
GRAD III: En større skade som har gått gjennom tannbeinet og inn til rotkanalen. Svært smertefullt.
GRAD IV: En omfattende skade som involverer tannbein, rotkanalen og med betydelige ødeleggelser av krona. Svært smertefullt.
GRAD V: Hele tannkrona er borte. Røttene sitter igjen og er dekket av normalt tannkjøtt
Så husk en jevnlig sjekk av tennene hjemme og ved den årlige helsesjekken hos veterinær.
Det tar 5 sekunder å ta en titt, det har alle tid til.
Så derfor var det min tur å få en grundig tannsjekk.
Min kattemamma ble dessverre ikke så gammel, og ble neppe sjekket noen ganger,
og pappsen er jo ukjent. så jeg har ingen anelse om hvordan tannhelsen er i min kattefamilie.
Matmor sier jeg hadde fått litt brunt plakk på tennene, sikkert etter alle de brune musene jeg har fanget.
Bare for å få sjekket at jeg ikke har noen antydning til TR, skal de ta ordentlig røntgen av alle tennene mine, og fjerne plakken, så tennene holder seg friske og pene lengre.
I dag var jeg første pasient, og først pus i inn, greit å ligge midt i “krysset”, så kan jeg følge med alle dyrlegene som gjør seg klar til arbeidsdagen.
I grunn var jeg ganske fornøyd og hyggelig pus i dag. Tillot til og med litt pelsrufsing uten problem.
Ja det vil si, til sprøyta kom.
Aldri noe gøy og uhøflig gjort når jeg hadde vært så hyggelig.
Som takk for stikket sendte jeg i vei en skikkelig gulp, med et velrettet treff på den som satt sprøyta.
Hadde nemlig forsynt meg grovt av Kaspers hemmelige matlager, så jeg var ferdig ladet om det skulle være behov.
Så mens jeg ble mer og mer døsig, dro veterinæren ut for et klesskift og mor måtte ha en liten rund vask på rommet.
Selv om jeg ble innmari trøtt, så fikk jeg med meg det som skjer rundt, en stund til.
Mor passet på meg hele tiden, og det er ganske trygt.
Jeg bruker nemlig å være ganske skvetten på lyder, selv om jeg blir trøttere og trøttere.
Jeg kjemper jo så godt jeg kan for å ikke sovne, men det er helt håpløst.
Jeg fikk en kanyle i den ene forlabben min, der fikk jeg tilført væske, og ekstra jonblunddråper.
Og følere rundt på kroppen som følger med puls, hjerte…. og en i stompen, som passer tempraturen, og den hadde de heller ingen spurt om lov til!
Og jammen i andre enden også, litt bedøvelse i halsen så får jeg en slange ned, som skal gi meg nok surstoff underveis,
Så man kan trygt si at jeg hadde noe i alle endene som skulle passe på at dette gikk helt fint.
Her er tennene mine før behandlingen.
Blå pilen viser at det begynner å bli en rosa strek i tannkjøttet langs tannen. Irritasjon
Rød pil viser opphopning av plakk. I grunn ikke noe veldig alvorlig.
Etter plakkfjerning ble tigertennene slik:
Litt rødt tannkjøtt, men det blir borte etter noen dager.
Helt rene, fine og hele tenner og ingen tannsykdommer å se
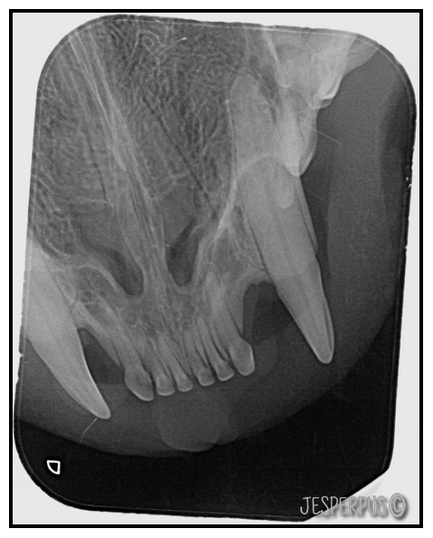
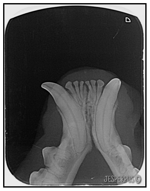
Men for å være helt sikkert, ble det tatt røntgen av alle tennene mine:
FIks ferdig, klar, iallefall i morgen for nye musefangster med nykvessa tenner!
Akkurat våknet og aner i grunn ikke alt jeg har vært igjennom.
Heldigvis!
Noe er helt greit å sove seg bort fra, og heller drømme om langt morsommere ting.
Se og røntgenbilder av katt med alvorlig TR under, tennene er nesten helt smuldret bort!
Så da oppfordrer jeg alle katteeiere til å ta en ekstra titt i munnen på sin katt.
Tror du det er noe som gjør vondt og er ubehagelig, så hør gjerne med veterinæren om en sjekk.
og en grundig sjekk rundt 5 års alder er lurt.
Ed liten video til slutt HER
Mjau fra Jesperpus, nå med nykvessa tigertenner!
Og Kapser synes jeg både luktet rart og oppførte meg rart når jeg kom hjem, så han holdt seg på god avstand.
Ikke før på kvelden, når jeg fikk en luftetur ut i bånd, turte han å være sammen med meg igjen.


























